Visit Us
Dr. Majznerski is one of the few orthodontists
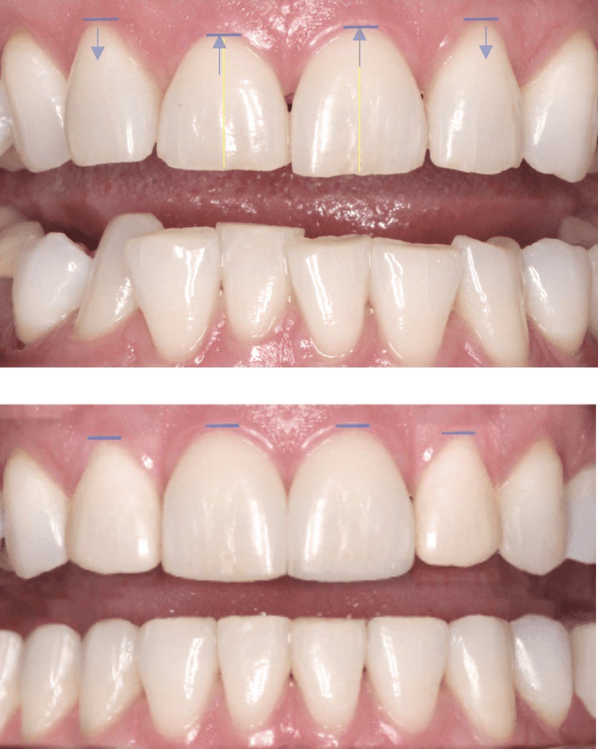
who rebuilds teeth during - or even before - orthodontic care.
What that means is that a lot of our patients could benefit from some form of rebuilding or reshaping to maximize the benefits of orthodontic care.
Rebuilding and reshaping teeth allows Dr. M's patients to have the smile they always wanted - and to make sure that grinding or malformed teeth don't get in the way of a perfect smile. It's just one way that we show how much we care.
We give our very best every day so that our patients have the very best.
In a recent interview, Dr. M said, "I want to create moments that take our patients' breath away!"
At Align Orthodontics, we call that a "Wow! Smile" - and it's truly within reach for all of our patients! Orthodontic treatment is easier and more comfortable than ever before - and that's including treatments like reshaping or reforming teeth.
A huge part of the "Wow! Smile" is making sure the teeth aren't just straight, but that they look amazing and function correctly moving forward. That means focusing on your bite and also how your teeth interact with each other.
That’s why rebuilding and reshaping is so important to Dr. M.
Mayo Clinic Trained; Over 30 years of experience.
Dr. Majznerski has more than 30 years of experience providing dental solutions in the Grand Rapids and West Michigan regions. He prefers to get to know his patients and often jokes with them to make them feel relaxed while providing professional care and top-quality results.


Rebuilding and reshaping teeth before orthodontic treatment allows the patient the opportunity to see the importance and experience dramatic improvement of their smile. They'll have time to discuss options following orthodontic treatment with their dentist. In the meantime, their teeth look great!
This is of great value to the patient and the dentist.
This is just one example of Dr. Majznerski’s drive to go beyond what is expected and his dedication to excellence. Giving his very best every day, so that his patients have the very best.
Orthodontic care is our passion - but we also want to keep our eye on the bigger picture.
Why? Because if your teeth, gums, bones, and overall oral health are poor then your teeth likely won't stay in their new positions. We're not just harping on oral health for no reason. Great oral health preserves your amazing new smile.
So that's why we work closely with some of the best dentists in the area to ensure your complete dental health!



